-
سی تی اسکن ریه و کرونا :کرونا چه آسیبی به ریه وارد میکند؟
بیماری ناشی از کرونا، COVID-19، یک بیماری تنفسی است. بنابراین بیماران اغلب دچار سرفه خشک و دشواری در تنفس میشوند. ریه و کرونا به هم مرتبط هستند. بیشتر موارد ویروس کرونا از طریق تست آزمایشگاهی بزاقی (PCR) تشخیص داده میشود، اما روش دیگری نیز جهت تشخیص احتمال ابتلای فرد وجود دارد.
بخش سلامت ایران مطلب خانواده و زندگیدر ادامه با درمانکده همراه باشید تا بیشتر درباره سی تی اسکن ریه کرونایی و اسیب کرونا به ریه بخوانید و بدانید که اسکن ریه کرونا چطور خوانده میشود.در نظر داشته باشید شما از طریق درمانکده میتوانید درخواست آزمایش کرونا در محل خود را ثبت کنید و در کمتر از ۴۸ ساعت کاری، جواب کرونا را دریافت کنید.
بیماران مبتلا به کرونا اغلب دچار سرفه خشک و دشواری در تنفس میشوند.بیماران مبتلا به کرونا اغلب دچار سرفه خشک و دشواری در تنفس میشوند.آزمایش ویروس کرونا: ریه و کرونااغلب بیماران کرونا مشکلات شدید تنفسی دارند.دلیل این امر پر بودن ریه آنها از مایعات است که در سی تی اسکن ریه کرونایی به صورت لکههای سفیدی به نام «کدورت شیشه مات» دیده میشود.بیماران مبتلا به پنومونی نیز این ویژگیها را دارند، اما پزشک برای تشخیص کرونا به دنبال چند ویژگی متمایز است.برای بررسی علائم ریه کرونایی و تست سالم بودن ریه باید آزمایش کرونا بدهید. تست ریه در خانه نمیتواند معتبر باشد.
در موارد شدید مشابه پنومونی در ریهها مایع جمع میشود. این مایعات در سی تی اسکن ریه کرونایی به صورت لکههای سفید که کدورت شیشه مات نامیده میشود، توسط پزشک قابل تشخیص است.نقش تستهای آزمایشگاهی در تشخیص کرونا نسبت به سی تی اسکن ریه کرونایی پررنگتر است، اما برای یافتن شواهدی که پزشک به دنبالش هست مفید می باشد.تاثیر کرونا روی ریه بسیار شدید است و اسکن ریه کرونا گرفته با ریه سالم متمایز است. ریه طبیعی و سالم از کرونا در سی تی اسکن باید سیاه به نظر برسد.
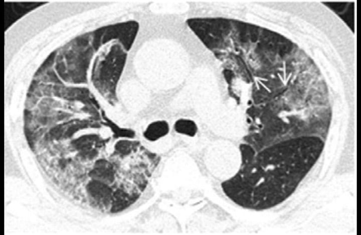
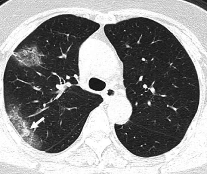
ریه طبیعی و سالم از کرونا در سی تی اسکن باید سیاه به نظر برسد.معمولاً وجود تودههای کوچک بافت یا ندولهای ریوی که به صورت نقاط سفید ریز مشاهده میشوند، طبیعی است.اما سی تی اسکن ریه کرونایی لکههای سفید رنگی دارد که رادیولوژیستها از آن به عنوان «کدورت شیشه مات» یاد میکنند. در پایین تصویر کرونا در تست سلامت ریه از طریق سی تی اسکن ریه کرونایی را مشاهده کیکنید.
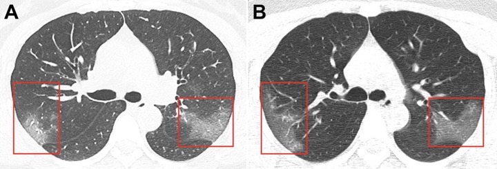
اسکن بیماران کرونا لکههای سفید رنگی دارد که رادیولوژیستها از آن به عنوان «کدورت شیشه مات» یاد میکنند.این علامت نشانگر عفونت شدید COVID-19 و ناشی از تجمع مایع در ریهها است. اما این علامت به تنهایی برای شناسایی ویروس کرونا مفید نیست. «این علامت در سایر عفونتها نیز قابل مشاهده است. عفونتهای باکتریایی، ویروسی یا حتی گاهی غیر عفونی و حتی در استعمال سیگار الکترونیک.»اما در مورد علائم ریه کرونا گرفته، لکه های قابل توجهی در سی تی اسکن ریه کرونایی هستند که تا لبههای ریههای بیمار امتداد مییابند. این چیزی نیست که خیلی شایع باشد. ما این مورد را در سندرم تنفسی حاد (SARS) و سندرم تنفسی خاورمیانه (MERS) مشاهده کردهایم.SARS و MERS هر دو از خانواده کرونا ویروس هستند.ریه و کرونا با هم مرتبط هستند و برای تست سلامتی ریه باید مطمئن شوید که دچار کرونا نشدهاید و یا اگر مبتلا شدید، کرونا را به سرعت مداوا کنید. شما از طریق درمانکده میتوانید تست کرونا در خانه یا محل خود بدهید و جواب را در ۲ روز کاری دریافت کنید:تجزیه و تحلیل نزدیک به ۱۴۰ اسکن ویروس کرونا نشان میدهد که «کدورت شیشه مات» در هر دو ریه از مشخصههای سی تی اسکن ریه کرونایی است.A: سی تی اسکن در روز پنجم ظهور علائمB: سی تی اسکن در روز نوزدهم ظهور علائم
محققان بیمارستان Zhongnan دانشگاه ووهان اسکن بیماران را تجزیه و تحلیل کردند. اکثر آنها مردان مسنی بودند که مشکلات زمینه ای داشتند. تصاویر بالا سی تی اسکن ریه کرونایی یک بیمار ۵۲ ساله است.اولین گروه اسکنها (گروه A) در ۷ ژانویه، پنج روز پس از شروع علائم در بیمار، انجام شد. «کدورت شیشه مات» در پایین هر دو ریه قابل مشاهده است.این مرد از ۷ تا ۱۲ ژانویه تحت درمان قرار گرفت. پس از آن، به نظر میرسید وضعیت او بهتر شده است. سری دوم اسکنها (گروه B)، که در ۲۱ ژانویه انجام شد، نشان می دهد که بسیاری از لکه های سفید کوچک یا ناپدید شده اند.وضعیت بسیاری از بیماران ویروس کرونا به سرعت وخیم و «کدورت شیشه مات» آنها پس از چند روز بارزتر میشود.وضعیت بسیاری از بیماران ویروس کرونا به سرعت وخیم و «کدورت شیشه مات» آنها پس از چند روز بارزتر میشود.وضعیت بسیاری از بیماران ویروس کرونا به سرعت وخیم و «کدورت شیشه مات» آنها پس از چند روز بارزتر میشود.
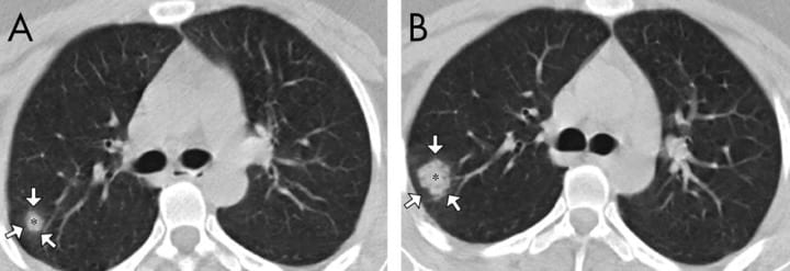
طبق یک مطالعه موردی، یک زن ۳۳ ساله با تب و سرفه پنج روزه، دمای بدن ۳۸.۸ درجه، مشکل تنفسی و تعداد پایین گلبولهای سفید خون، نشانهای از عفونت، به بیمارستانی در لانژو چین مراجعه کرد.در سی تی اسکن اولیه، محققان بیمارستان دانشگاه لانژو «کدورت شیشه مات» را در گوشه پایین ریههای وی شناسایی کردند.به این بیمار اینترفرون، پروتئینی برای درمان عفونتهای ویروسی، تجویز شد اما سه روز بعد (و بعد از درمان او) علائم بارزتر شدند. همین اتفاق در بیماران SARS نیز رخ داده است. «اگر از این شیوع اطلاع نداشتیم با مشاهده اسکن تشخیص پنومونی میدادیم، زیرا این شایع ترین چیزی است که میبینیم.»«ذات الریه معمولاً به سرعت پیشرفت نمیکند»، بنابراین این مورد منتفی است.اسکن ریه کرونایی یک خانم ۲۷ ساله که در ووهان کار میکرد، یک «هاله شیشه مات» را نشان داد؛ لکههای سفیدی که ندول کوچکی را احاطه کردهاند.
«هاله شیشه مات» میتواند یکی از ویژگیهای متمایز عفونتهای ویروسی و پنومونی باشد.«هاله شیشه مات» میتواند یکی از ویژگیهای متمایز عفونتهای ویروسی و پنومونی باشد.محققان دانشگاه پزشکی آنهویی در هفی، چین این زن را پس از بستری شدن در اثر تب و سرفه مورد بررسی قرار دادند. بیمار اختلال تنفسی نیز داشت. محققان گفتند: «هاله شیشه مات» میتواند یکی از ویژگیهای متمایز عفونتهای ویروسی و پنومونی باشد.پس از چهار روز بستری در بیمارستان، ندول ریه راست بیمار رشد کرده بود.برخی از بیماران «الگوی انتشار پیشرونده» را نشان میدهند که به خطوط کم درون کدورت شیشه مات اشاره دارد.
مطالعه دیگر در مورد بیمارانی که از ویروس کرونا بهبود یافتند، پیشنهاد کرد که این الگو بین بیماران نوع خفیفتر شایع است. تقریباً شبیه یک جاده سنگفرش است. گاهی اوقات کل ریه را می پوشاند اما دیدن آن در چند منطقه کوچک ناشایع و کمی غیرمعمول است.مطالعه دیگر در مورد بیمارانی که از ویروس کرونا بهبود یافتند، پیشنهاد کرد که این الگو بین بیماران نوع خفیفتر شایع است. تقریباً شبیه یک جاده سنگفرش است. گاهی اوقات کل ریه را می پوشاند اما دیدن آن در چند منطقه کوچک ناشایع و کمی غیرمعمول است.مطالعهای که روی ۲۱ بیمار در سه استان چین انجام شد، چهار بیمار را با اسکن «الگوی انتشار پیشرونده» نشان داد. «تقریباً شبیه یک جاده سنگفرش است. گاهی اوقات کل ریه را می پوشاند اما دیدن آن در چند منطقه کوچک ناشایع و کمی غیرمعمول است.»وی گفت که این الگو در برخی از اسکن های SARS و MERS نیز دیده شده است. مطالعه دیگر در مورد بیمارانی که از ویروس کرونا بهبود یافتند، پیشنهاد کرد که این الگو بین بیماران نوع خفیفتر شایع است.یک مطالعه در شانگهای الگویی شبکه مانند به نام «رتیکولاسیون» را شناسایی کرد که در اسکن یک پیرمرد ۷۵ ساله مشاهده شده بود.محققان مرکز بالینی بهداشت عمومی شانگهای، اسکن این بیمار را سه روز پس از بستری شدن مرد در بیمارستان، مورد تجزیه و تحلیل قرار دادند. علاوه بر «کدورت شیشه مات» الگوی شبکه مانند «رتیکولاسون» نیز دیده شد که نشانگر آسیب ریه و معمولاً با سندرم زجر تنفسی حاد (ARDS) همراه است.مطالعه اخیر در The Lancet نشان داد که ویروس کرونا میتواند منجر به ARDS شود که اغلب کشنده است.به گفته محققان شانگهای، ۲۲ درصد از ۵۰ بیماری که آنها بررسی کردند، در اسکن خود الگوی رتیکولاسون و حدود ۷۷٪ «کدورت شیشه مات» را نشان دادند، در حالی که تقریبا ۶۰٪ دارای کانسولیدیشن بودند؛ بافت ریه که به جای هوا با مایع پر میشود.محققان شانگهای در نهایت به این نتیجه رسیدند که برای تشخیص کرونا به سه جزء نیاز است: تب یا سرفه، وجود کدورت شیشه مات در هر دو ریه و سابقه قرار گرفتن در معرض ویروس.اما ویروس کرونا همیشه بلافاصله در اسکن ظاهر نمیشود.مایکل چونگ، نویسنده اصلی مطالعه لانژو، در تاریخ ۳ فوریه گفت: «ما برای رد قطعی حضور ویروس نمیتوانیم به CT متکی باشیم.»
برای تشخیص کرونا به سه جز نیاز است: تب یا سرفه، وجود کدورت شیشه مات در هر دو ریه و سابقه قرار گرفتن در معرض ویروس.برای تشخیص کرونا به سه جز نیاز است: تب یا سرفه، وجود کدورت شیشه مات در هر دو ریه و سابقه قرار گرفتن در معرض ویروس.لاخانی متذکر شد: سی تی اسکن ریه «یکی از چهار یا پنج مورد» لازم برای تشخیص به همراه علائم، سابقه بالینی، پیشرفت بیماری و تست آزمایشگاهی است.انتهـــــــــــــــــــــــــای پیــــــــــــــــــــــــــام
ارسال نظر آزاد است، اما اگر قبلا در بیان ثبت نام کرده اید می توانید ابتدا وارد شوید.
درباره من
سلام در بسیاری از مسائل زندگی افراد به وضوح قابل مشاهده است. خانواده اولین بخش از یک اجتماع است که هر کدام از ما به صورت تولد، فرزند خواندگی، یا ازدواج به آن وارد میشویم. روابط بین افراد خانواده و نقشهایی که هر یک از اعضا بر عهده میگیرند، میتواند بر شکلگیری شخصیت و نحوه تعاملات افراد اثر بگذارد. علاوه بر ژنهای مشابه، سبکهای ارتباطی افراد یک خانواده نیز منجر به پیدایش خصوصیات مشترک در بین آنها می شود. برای آنکه در مورد نقش و اهمیت خانواده بیشتر بدانید
طبقه بندي موضوعي
- زناشویی (۹۰)
- کودکان و والدین (۳۳)
- آرایش و زیبایی (۷)
- روانشناسی (۱۸۷)
- روابط عاطفی (۷)
- سلامت (۲۰۲)
- سبک زندگی (۱۳۴)
- تغذیه سالم (۴۰)
- تناسب اندام (۴۱)
- سلامت روان (۲۵۵)
- اطلاعات دارویی (۲۲)
- بیماری ها (۳۶۸)
- پوست و زیبایی (۲۵)
- دندانپزشکی (۲۰)
- تازه های پزشکی (۳۶)
- دانشنامه : کرونا (۳۲)
آخرين عناوين
پربحث ترين ها
- رازهای یک زندگی زناشویی عاشقانه که هر دختر و پسری باید بداند
- این مردهای بی مسئولیت...
- 💚ضربه مغزی چیست و چگونه درمان میشود؟💚
- آیا شما هم فرزندتان را از دست داده اید؟
- علت تمایل مردان به همسر دوم چیست؟
- 💚29 غذایی که شکم شما را شش تکه میکند!💚
- علائم، راههای پیشگیری و درمان ویروس کرونا + پرسش و پاسخ
- در سونوگرافی ان تی (nt) بارداری چه چیزهایی مشخص می شود؟
- باکتری ترموس اکواتیکوس چگونه در مبارزه با ویروس کرونا کمک رسانی می کند؟
- تفاوت وگان و وجترین چیست؟
پربازديدترين ها
- عفونت واژن چه نشانه هایی دارد و چگونه درمان می شود؟
- علایق و روحیات جنسی - روانی زن متولد آذر ماه
- همه نشانه های یک همسر کنترل گر
- علائم لخته خون در بدن چیست؟
- کاشف واکسن سیاه سرفه کیست؟
- عوارض احتمالی بعد از تزریق واکسن آسترازنکا
- آیا تست مثبت کرونا می تواند کاذب باشد؟
- ارتباط میان بیماری های افسردگی و اضطراب با دردهای مزمن
- تبلیغات
- هر چیزی که باید در مورد برجستگی واژن بدانیم
محبوب ترين ها
- چرا خوشحال نیستم؟
- نشانه های اولیه باهوش بودن نوزاد و کودکان
- پزشک های متخصص گوش، حلق و بینی چه مسئولیت هایی دارند؟
- علائم، راههای پیشگیری و درمان ویروس کرونا + پرسش و پاسخ
- واکسن چطور تهیه می شود؟ واکسن کرونا کی آماده می شود؟
- اینفوگرافیک: راهنمای مواد غذایی ایمن در دوران کرونا
- بررسی تیپ شخصیتی ISTJ (درونگرا، حسی، منطقی، قضاوتی)
- کاشف واکسن هپاتیت B کیست؟
- فلج مغزی (Cerebral Palsy)
- جرم گیری دندانها
آخرين نظرات
- وگان یک فرد است که در تغذیهاش از ...
۴ بهمن ۰۳، ۱۲:۱۸ - وگان یعنی چه؟ - تبخال تناسلی یک عفونت شایع و مسری ...
۱۸ آبان ۰۳، ۱۲:۲۳ - رحیم - جالب بود
۱۲ بهمن ۰۰، ۱۱:۵۴ - سارا - زنده بودن در معنای نزدیکش ارزشی ...
۶ بهمن ۰۰، ۱۴:۱۲ - ناشناس - من خودم رو از دست دادم.
۶ بهمن ۰۰، ۱۳:۱۲ - ناشناس - سلام مطلب بسیار غالی بود ممنونم لایک
۷ دی ۰۰، ۱۲:۲۶ - abdolnabi solimani - سلام یلدا مبارک الاهی که 100 سال زنده باشید.
۱ دی ۰۰، ۱۲:۱۲ - abdolnabi solimani - پرچم ایام فاطمیه فروشگاه اینترنتی ...
۱۶ آذر ۰۰، ۱۳:۲۵ - خرید پرچم فاطمیه - وبلاگ خوبی دارید لطفا از وبلاگ ما ...
۲۷ آبان ۰۰، ۱۲:۱۵ - محسن حیدری - https://starteach.ir نرم افزار ...
۱۴ آبان ۰۰، ۱۳:۳۱ - https://starteach.ir
آرشيو
- بهمن ۱۴۰۰ (۵۵)
- دی ۱۴۰۰ (۱۳۰)
- آذر ۱۴۰۰ (۱۲۵)
- آبان ۱۴۰۰ (۱۳۰)
- مهر ۱۴۰۰ (۱۲۵)
- شهریور ۱۴۰۰ (۱۵۰)
- مرداد ۱۴۰۰ (۱۵۰)
- تیر ۱۴۰۰ (۱۳۳)
- خرداد ۱۴۰۰ (۹۶)
- ارديبهشت ۱۴۰۰ (۱۴۶)
- فروردين ۱۴۰۰ (۱۱۵)
- اسفند ۱۳۹۹ (۵۰)
- مهر ۱۳۹۹ (۷۰)
- شهریور ۱۳۹۹ (۳۰)
نويسندگان
- elaheh solimani (1505)
برچسب ها
علائم
علل
تشخیص و درمان
۶ علامت استرس و اضطراب شدید
علائم و درمان
تشخیص
علائم و راههای درمان
حسی
چگونه بر ترس و اضطراب غلبه کنیم؟
اختلال روان تنی یا سایکوسوماتیک چیست؟
عوارض و راه های درمان استرس حاد
احساس تمایل به خودکشی به چه دلایلی ایجاد میشود؟
منطقی
پیشگیری و درمان
استرس حاد چیست؟
اختلال اضطراب اجتماعی چیست؟
اوتیسم یا درخودماندگی چه هست و چه نیست؟
اختلال جویدن ناخن چیست و چگونه درمان میشود؟
علت کابوس های شبانه چیست؟
علائم و راه درمان این اختلال
حمله پانیک؛ علل
کنترل خشم در ADHD یا بیش فعالی
علل و درمان وسواس فکری-عملی
علل و درمانی دارد؟
اختلال پانیک یا هراس چه علائم
علائم اختلال ADHD یا بیش فعالی کم توجهی چیست؟
علت و دلیلی بیش فعالی یا ADHD چیست؟
کمال گرایی و وسواس چه فرقی دارند؟
علل و درمان سندرم آسپرگر
افسردگی چیست و چطور باید با آن کنار بیاییم؟

