-
انواع و پیشگیری سکته خاموش یا خفیف ؛ علائم
با شنیدن نام سکته مغزی، غالباً علائمی مانند اختلال گفتار، بیحسی یا از دست دادن حرکت در صورت یا بدن به ذهن میآید.
بخش بیماری های مغز و اعصاب ایران مطلب: خانواده و زندگی
با شنیدن نام سکته مغزی، غالباً علائمی مانند اختلال گفتار، بیحسی یا از دست دادن حرکت در صورت یا بدن به ذهن میآید. اما سکته خاموش چنین علائمی را نشان نمیدهد. در حقیقت، سکته خاموش معمولاً هیچ علامتی ندارد. پس بله. میتوانید سکته خاموش داشته باشید، یا متوجه آن نشوید و به خاطر نیاورید.
سکته خاموش معمولاً هیچ علامتی ندارد و بیشتر با عوارض بعدش شناخته میشود.سکته خاموش و دمانس انفارکتوسمانند سکتههای ایسکمیک، سکتههای خاموش نیز با قطع ناگهانی خونرسانی به بخشی از مغز و عدم اکسیژن رسانی موثر و آسیب سلولهای مغزی اتفاق میافتد.اما ذاتاً سکته خاموش قابل تشخیص است. به این دلیل که سکته خاموش، خون رسانی به بخشی از مغز که هیچ عملکرد قابل مشاهدهای مانند گفتار یا حرکت ندارد را مختل میکند. بنابراین هرگز هیچوقت متوجه سکته نمیشوید.بیشتر مواقع هنگام انجام آزمایش ام آر آی یا سی تی اسکن برای بیماری دیگر، پزشکان متوجه آسیب دیدگی مناطق کوچکی از مغز میشوند.آیا این بدان معنی است که این نوع سکته خطر کمتری دارد؟تنها به علت ناآگاهی فرد، به معنای ناچیز بودن آسیب نیست.سکته خاموش معمولاً فقط ناحیه کوچکی از مغز را تحت تأثیر قرار میدهد، اما آسیب آن تجمعی است؛ به این معنی که اگر چندین بار سکته خاموش داشتهاید، امکان مشاهده علائم عصبی وجود دارد. به عنوان مثال، ممکن است در به خاطر سپردن مسائل یا در تمرکز مشکل داشته باشید.
سکته خاموش معمولاً فقط ناحیه کوچکی از مغز را تحت تأثیر قرار میدهد، اما آسیب آن تجمعی استطبق انجمن سکته مغزی آمریکا، سکته خاموش نیز خطر ابتلا به سکته علامتدار در آینده را افزایش میدهد.طبق گفته محققان سکته خاموش کاملاً شایع است. یک مطالعه در سال ۲۰۰۳ نشان داد که یک سوم افراد بالای ۷۰ سال حداقل یک بار سکته خاموش داشتهاند.اخیراً محققان تأیید کردهاند که سکته خاموش متعدد فرد را در معرض خطر زوال عقل عروقی قرار میدهد، همچنین به عنوان دمانس انفارکتوس متعدد مغزی نیز شناخته میشود. علائم دمانس انفارکتوس متعدد عبارتند از:مشکلات حافظهمسائل عاطفی، مانند خندیدن یا گریه در مواقع نامناسبتغییر در راه رفتنگم شدن در مکانهایی که باید برای شما آشنا باشدمشکل در تصمیمگیریاز دست دادن کنترل روده و مثانه
سکته خاموش متعدد فرد را در معرض خطر زوال عقل عروقی قرار میدهد، همچنین به عنوان دمانس انفارکتوس متعدد مغزی نیز شناخته میشود.چه چیزی سکته خاموش را متفاوت میکند؟سکته خاموش با انواع دیگر سکتهها از جمله سکته مغزی، سکته مغزی ایسکمیک و سکته مغزی خونریزی دهنده متفاوت است. در اینجا یک تقسیم بندی وجود دارد:۱. سکته خاموشعلللخته شدن خونفشار خون بالاتنگی عروقکلسترول بالادیابتعلائمعلائم قابل ملاحظهای وجود نداردمدت زمانآسیب دائمی است و اثرات آن میتواند تجمعی باشد۲. سکته خفیف (TIA)علللخته شدن خونتنگی عروقکلسترول بالادیابتعلائممشکل در راه رفتنکوری در یک چشم یا بریدگی در میدان دیدسردرد ناگهانی و شدیدسرگیجهگیجیمدت زمانعلائم کمتر از ۲۴ ساعت طول میکشدعلائم میتواند در آینده منجر به سکتههای بزرگتر شود۳. سکته مغزی ایسکمیکعلللخته شدن خونفشار خون بالاتنگی عروقکلسترول بالادیابتعلائمضعف در بازوها، پاها یا صورتمشکلات گفتاریمشکل در راه رفتنکوری در یک چشم یا بریدگی در میدان دیدسردرد ناگهانی و شدیدسرگیجهگیجیمدت زمانعلائم بیش از ۲۴ ساعت طول میکشدعلائم ممکن است به موقع برطرف شوند یا به ناتوانی دائمی تبدیل شوند۴. سکته هموراژیک (خونریزی دهنده)عللخونریزی در مغز به دلیل فشار خون بالاسوء مصرف موادجراحتآنوریسمعلائمضعف در بازوها، پاها یا صورتمشکلات گفتاریمشکل در راه رفتنکوری در یک چشم یا بریدگی در میدان دیدسردرد ناگهانی و شدیدسرگیجهگیجیمدت زمانعلائم بیش از ۲۴ ساعت طول میکشدعلائم ممکن است به موقع برطرف شوند یا به ناتوانی دائمی تبدیل شوند
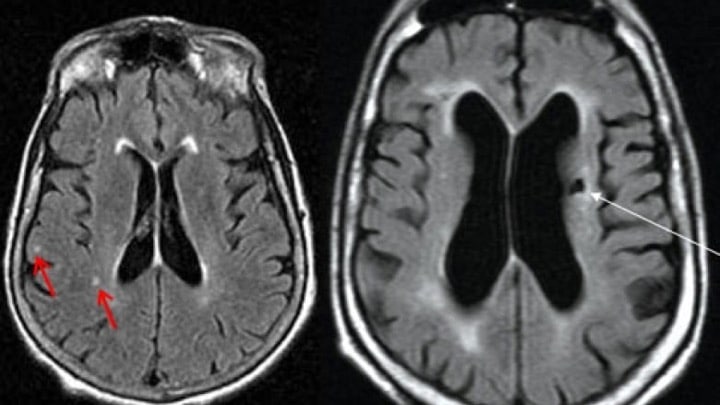
سکته خاموش با انواع دیگر سکته از جمله سکته مغزی، سکته مغزی ایسکمیک و سکته مغزی خونریزی دهنده متفاوت است.چگونه میتوان سابقه سکته خاموش را تشخیص داد؟اگر سی تی اسکن مغزی یا MRI داشته باشید، تصویر لکههای سفید یا ضایعاتی که نشانگر سلولهای مغزی از کار افتاده است، قابل مشاهده میباشد. به این ترتیب دکتر مغز و اعصاب متوجه سکته خاموش خواهد شد.علائم دیگر به قدری ظریف هستند که اغلب با علائم پیری اشتباه می شوند، مانند:مشکلات تعادلسقوط مکررنشت ادرارتغییر در خلق و خویکاهش توانایی تفکر
اگر سی تی اسکن مغزی یا MRI داشته باشید، تصویر لکههای سفید یا ضایعاتی که نشانگر سلولهای مغزی از کار افتاده است، قابل مشاهده میباشد. به این ترتیب پزشک متوجه سکته خاموش خواهد شدآیا آسیب ناشی از این سکته قابل جبران است؟هیچ راهی برای جبران آسیب دائمی ناشی از کمبود اکسیژن رسانی به سلولهای مغزی وجود ندارد. پس سکته خاموش تا پایان عمر عوارض خود را دارد.با این حال، در برخی موارد قسمتهای سالم مغز ممکن است عملکردهای پیشین مناطق آسیب دیده را انجام دهند. در نهایت، اگر سکتههای خاموش ادامه پیدا کند، توانایی مغز برای جبران کاهش مییابد.آیا میتوانید مسائل شناختی را درمان کنید؟براساس موسسه ملی اختلالات عصبی و سکته مغزی، درمان توان بخشی میتواند به افرادی که به دلیل سکته مغزی برخی از تواناییهای خود را از دست دادهاند، کمک کند. برای دریافت کمک میتوانید به این متخصصین مراجعه کنید:درمانگران فیزیکیآسیب شناس گفتارجامعه شناسانروانشناسانبرخی از پزشکان داروهای آلزایمر را برای افراد مبتلا به زوال عقل عروقی تجویز میکنند، اما هنوز تاثیر این داروها برای این بیماران اثبات نشده است.
هیچ راهی برای جبران آسیب دائمی ناشی از کمبود اکسیژن رسانی به سلولهای مغزی وجود ندارد. پس سکته خاموش تا پایان عمر عوارض خود را دارد.اگر سکته خاموش تواناییهای شناختی شما را مختل کند، کارهای کوچک و عملی بسیاری وجود دارد که میتوانید برای کمک به حافظه خود انجام دهید. این مراحل را امتحان کنید:تمرین روال معمول برای انجام بعضی کارها در ساعات مشخصی از روزقرار دادن وسایل مورد نیاز خود مانند داروها و کلیدها هر روز در یک مکان مشخصتهیه لیست کارها و دستورالعمل برای کمک به یادآوری مراحل انجام کارهای پیچیدهاستفاده از یک جعبه قرص برای کمک به پیگیری داروهاپرداخت مستقیم قبضهاانجام بازیهای تقویت کننده حافظهآیا سکته خاموش قابل پیشگیری است؟گرچه تشخیص سکته خاموش و حتی ترمیم نواحی آسیب دیده مغز دشوار است، اما از همان ابتدا پیشگیری از وقوع یک سکته مغزی نسبتاً آسان است.در اینجا برخی موارد پیشگیرانه وجود دارد که میتوانید از همین امروز شروع کنید:کنترل فشار خون. محققان دریافتند که فشار خون بالا خطر ابتلا به سکته خاموش را افزایش میدهد.ورزش. مطالعهای در سال ۲۰۱۱ نشان داد که ۳۰ دقیقه ورزش پنج روز در هفته ممکن است احتمال سکته مغزی خاموش را تا ۴۰ درصد کاهش دهد. اگر از نظر جسمی تحرک داشته باشید، عوارض سکته مغزی نیز کمتر بوده و نتایج بهتری نسبت به افراد بیتحرک خواهید داشت.کاهش مصرف نمک. انجمن سکته مغزی آمریکا توصیه میکند برای کاهش فشار خون و کاهش خطر ابتلا به سکته، میزان مصرف سدیم را کاهش دهید. این مقدار فقط شامل نمکی نیست که به غذاها می ریزید: ۷۰ درصد از سدیم دریافتی شما در غذاهای منجمد و بسته بندی شده است.مدیریت وزن. شاخص توده بدن از ۱۸.۵ تا ۲۴.۹ طبیعی تلقی میشود.کاهش سطح کلسترول. برای کاهش خطر سکته مغزی، سطح کلسترول کلی باید کمتر از ۲۰۰ میلیگرم در دسیلیتر باشد.کلسترول HDL (مفید) در حالت ایدهآل باید ۶۰ میلیگرم در دسیلیتر یا بیشتر و کلسترول LDL (مضر) باید زیر ۱۰۰ میلیگرم در دسیلیتر باشد. درباره تست کلسترول بخوانید.ترک سیگار. میتوانید با ترک سیگار خطر سکته مغزی را کاهش دهید. سیگار کشیدن با افزایش خطر بیماریهای قلبی و سکته مغزی همراه است.اجتناب از مصرف نوشیدنیهای رژیمی. اخیرا مطالعهای نشان داده است که نوشیدن نوشیدنیهای شیرین شده مصنوعی میتواند خطر ابتلا به زوال عقل و سکته را افزایش دهد.مصرف سبزیجات. هر روز پنج وعده یا بیشتر میوه و سبزیجات میل کنید.کنترل دیابت. دیابت از عوامل شناخته شده سکته مغزی است.
گرچه تشخیص سکته خاموش و حتی ترمیم نواحی آسیب دیده مغز دشوار است، اما از همان ابتدا پیشگیری از وقوع یک سکته مغزی نسبتاً آسان است.آیا باید به پزشک متخصص مغز و اعصاب مراجعه کنم؟سکته مغزی یک مسئله پزشکی جدی است. اگر هرکدام از علائم سکته مغزی را تجربه کردید، سریعاً به پزشک مراجعه کنید.اگر علائم سکته مغزی ندارید اما در معرض سکته خاموش هستید، مراجعه به پزشک لازم است. پزشک در تهیه برنامهای برای کاهش عوامل خطر و پیشگیری از سکته مغزی شما را راهنمایی خواهد کرد.
سکته مغزی یک مسئله پزشکی جدی است. اگر هرکدام از علائم سکته مغزی را تجربه کردید، سریعاً به پزشک مراجعه کنید.حرف آخرسکته خاموش علائم قابل توجهی ندارد، اما هنوز هم میتواند به مغز آسیب برساند.مانند سکتههای ایسکمیک، سکتههای خاموش نیز وقتی اتفاق میافتد که خونرسانی در ناحیه کوچکی از مغز قطع شود و به سلولهای مغزی آسیب برسد. سکته خاموش اثرات تجمعی بر سلامت مغز و تواناییهای جسمی و روانی دارد.انتهـــــــــــــــــــــــــای پیــــــــــــــــــــــــــام
ارسال نظر آزاد است، اما اگر قبلا در بیان ثبت نام کرده اید می توانید ابتدا وارد شوید.
درباره من
سلام در بسیاری از مسائل زندگی افراد به وضوح قابل مشاهده است. خانواده اولین بخش از یک اجتماع است که هر کدام از ما به صورت تولد، فرزند خواندگی، یا ازدواج به آن وارد میشویم. روابط بین افراد خانواده و نقشهایی که هر یک از اعضا بر عهده میگیرند، میتواند بر شکلگیری شخصیت و نحوه تعاملات افراد اثر بگذارد. علاوه بر ژنهای مشابه، سبکهای ارتباطی افراد یک خانواده نیز منجر به پیدایش خصوصیات مشترک در بین آنها می شود. برای آنکه در مورد نقش و اهمیت خانواده بیشتر بدانید
طبقه بندي موضوعي
- زناشویی (۹۰)
- کودکان و والدین (۳۳)
- آرایش و زیبایی (۷)
- روانشناسی (۱۸۷)
- روابط عاطفی (۷)
- سلامت (۲۰۲)
- سبک زندگی (۱۳۴)
- تغذیه سالم (۴۰)
- تناسب اندام (۴۱)
- سلامت روان (۲۵۵)
- اطلاعات دارویی (۲۲)
- بیماری ها (۳۶۸)
- پوست و زیبایی (۲۵)
- دندانپزشکی (۲۰)
- تازه های پزشکی (۳۶)
- دانشنامه : کرونا (۳۲)
آخرين عناوين
پربحث ترين ها
- رازهای یک زندگی زناشویی عاشقانه که هر دختر و پسری باید بداند
- این مردهای بی مسئولیت...
- 💚ضربه مغزی چیست و چگونه درمان میشود؟💚
- آیا شما هم فرزندتان را از دست داده اید؟
- علت تمایل مردان به همسر دوم چیست؟
- 💚29 غذایی که شکم شما را شش تکه میکند!💚
- علائم، راههای پیشگیری و درمان ویروس کرونا + پرسش و پاسخ
- در سونوگرافی ان تی (nt) بارداری چه چیزهایی مشخص می شود؟
- باکتری ترموس اکواتیکوس چگونه در مبارزه با ویروس کرونا کمک رسانی می کند؟
- تفاوت وگان و وجترین چیست؟
پربازديدترين ها
- عفونت واژن چه نشانه هایی دارد و چگونه درمان می شود؟
- علایق و روحیات جنسی - روانی زن متولد آذر ماه
- همه نشانه های یک همسر کنترل گر
- علائم لخته خون در بدن چیست؟
- کاشف واکسن سیاه سرفه کیست؟
- عوارض احتمالی بعد از تزریق واکسن آسترازنکا
- آیا تست مثبت کرونا می تواند کاذب باشد؟
- ارتباط میان بیماری های افسردگی و اضطراب با دردهای مزمن
- تبلیغات
- هر چیزی که باید در مورد برجستگی واژن بدانیم
محبوب ترين ها
- چرا خوشحال نیستم؟
- نشانه های اولیه باهوش بودن نوزاد و کودکان
- پزشک های متخصص گوش، حلق و بینی چه مسئولیت هایی دارند؟
- علائم، راههای پیشگیری و درمان ویروس کرونا + پرسش و پاسخ
- واکسن چطور تهیه می شود؟ واکسن کرونا کی آماده می شود؟
- اینفوگرافیک: راهنمای مواد غذایی ایمن در دوران کرونا
- بررسی تیپ شخصیتی ISTJ (درونگرا، حسی، منطقی، قضاوتی)
- کاشف واکسن هپاتیت B کیست؟
- فلج مغزی (Cerebral Palsy)
- جرم گیری دندانها
آخرين نظرات
- وگان یک فرد است که در تغذیهاش از ...
۴ بهمن ۰۳، ۱۲:۱۸ - وگان یعنی چه؟ - تبخال تناسلی یک عفونت شایع و مسری ...
۱۸ آبان ۰۳، ۱۲:۲۳ - رحیم - جالب بود
۱۲ بهمن ۰۰، ۱۱:۵۴ - سارا - زنده بودن در معنای نزدیکش ارزشی ...
۶ بهمن ۰۰، ۱۴:۱۲ - ناشناس - من خودم رو از دست دادم.
۶ بهمن ۰۰، ۱۳:۱۲ - ناشناس - سلام مطلب بسیار غالی بود ممنونم لایک
۷ دی ۰۰، ۱۲:۲۶ - abdolnabi solimani - سلام یلدا مبارک الاهی که 100 سال زنده باشید.
۱ دی ۰۰، ۱۲:۱۲ - abdolnabi solimani - پرچم ایام فاطمیه فروشگاه اینترنتی ...
۱۶ آذر ۰۰، ۱۳:۲۵ - خرید پرچم فاطمیه - وبلاگ خوبی دارید لطفا از وبلاگ ما ...
۲۷ آبان ۰۰، ۱۲:۱۵ - محسن حیدری - https://starteach.ir نرم افزار ...
۱۴ آبان ۰۰، ۱۳:۳۱ - https://starteach.ir
آرشيو
- بهمن ۱۴۰۰ (۵۵)
- دی ۱۴۰۰ (۱۳۰)
- آذر ۱۴۰۰ (۱۲۵)
- آبان ۱۴۰۰ (۱۳۰)
- مهر ۱۴۰۰ (۱۲۵)
- شهریور ۱۴۰۰ (۱۵۰)
- مرداد ۱۴۰۰ (۱۵۰)
- تیر ۱۴۰۰ (۱۳۳)
- خرداد ۱۴۰۰ (۹۶)
- ارديبهشت ۱۴۰۰ (۱۴۶)
- فروردين ۱۴۰۰ (۱۱۵)
- اسفند ۱۳۹۹ (۵۰)
- مهر ۱۳۹۹ (۷۰)
- شهریور ۱۳۹۹ (۳۰)
نويسندگان
- elaheh solimani (1505)
برچسب ها
علائم
علل
تشخیص و درمان
۶ علامت استرس و اضطراب شدید
علائم و درمان
تشخیص
علائم و راههای درمان
حسی
چگونه بر ترس و اضطراب غلبه کنیم؟
اختلال روان تنی یا سایکوسوماتیک چیست؟
عوارض و راه های درمان استرس حاد
احساس تمایل به خودکشی به چه دلایلی ایجاد میشود؟
منطقی
پیشگیری و درمان
استرس حاد چیست؟
اختلال اضطراب اجتماعی چیست؟
اوتیسم یا درخودماندگی چه هست و چه نیست؟
اختلال جویدن ناخن چیست و چگونه درمان میشود؟
علت کابوس های شبانه چیست؟
علائم و راه درمان این اختلال
حمله پانیک؛ علل
کنترل خشم در ADHD یا بیش فعالی
علل و درمان وسواس فکری-عملی
علل و درمانی دارد؟
اختلال پانیک یا هراس چه علائم
علائم اختلال ADHD یا بیش فعالی کم توجهی چیست؟
علت و دلیلی بیش فعالی یا ADHD چیست؟
کمال گرایی و وسواس چه فرقی دارند؟
علل و درمان سندرم آسپرگر
افسردگی چیست و چطور باید با آن کنار بیاییم؟

