-
معاینه فردی تشخیصی توده سرطان سینه
اکثر تودهها، توده سرطان سینه نیستند. همه انواع توده سینه باید تحت مراقبت قرار بگیرند. توده سینه باید توسط پزشک…
بخش بیماری ها ایران مطلب: خانواده و زندگی
اکثر تودهها، توده سرطان سینه نیستند. همه انواع توده سینه باید تحت مراقبت قرار بگیرند. توده سینه باید توسط پزشک متخصص زنان بررسی شود تا به احتمال سرطان سینه پی برده شود.
یک توده سرطان سینه ممکن است احساس گرد، نرم و لطیف داشته باشد و میتواند در هر نقطهای از سینه ایجاد شود.معاینات فردی تا تشخیص سرطان سینهآخرین دستورالعملهای انجمن سرطان آمریکا (ACS) نشان میدهد که معاینات فردی، مخصوصاً برای زنانی که ماموگرافی غربالگری را انجام میدهند، و یا حتی وقتی پزشکان این آزمایشات را انجام میدهند فواید، آشکاری حاصل نشده است، هنوز هم برخی از مردان و زنان وجود دارند که به سرطان سینه مبتلا میشوند و علائم آن را در خود مییابند.اگر زن هستید، مهم است که با ظاهر سینه خود آشنا شوید و آنها را مرتباً بررسی کنید. این کار به شما کمک میکند تا از هرگونه تغییر یا ناهنجاری در هنگام وقوع آگاه شوید. زنان برای سلامتی خود باید چکاپ روتین داشته باشند که معاینه منظم سینهها از مهمترین موارد آن است.یک توده سرطان سینه چه حسی دارد؟موارد توده سرطان سینه، احساس یکسانی ندارند. پزشک شما باید هر نوع تودهای را بررسی کند، خواه با رایجترین علائم ذکر شده در زیر مطابقت داشته باشد یا نداشته باشد.معمولاً یک توده سرطان سینه:یک توده سخت استبدون درد استدارای لبههای نامنظم استبیحرکت است (هنگام هل دادن حرکت نمیکند)در قسمت فوقانی پستان شما ظاهر میشودبا گذشت زمان رشد میکندهمه موارد توده سرطان سینه از این معیارها برخوردار نیستند و توده سرطان سینه که همه این صفات را داشته باشد، توده عادی نیست. یک توده سرطان سینه ممکن است احساس گرد، نرم و لطیف داشته باشد و میتواند در هر نقطهای از سینه ایجاد شود. در بعضی موارد، توده سرطان سینه حتی میتواند دردناک نیز باشد.برخی از خانمها همچنین بافت متراکم و الیافی پستان دارند. که در این صورت، احساس توده سرطان سینه یا تغییر در سینه ممکن است دشوارتر باشد.داشتن سینههای متراکم نیز تشخیص سرطان سینه را در ماموگرافی دشوارتر میسازد. با وجود داشتن بافت سختتر، هنوز هم میتوانید به محض وقوع تغییر در پستانها، آن را تشخیص دهید.
در بعضی موارد، توده سرطان سینه حتی میتواند دردناک نیز باشد.سایر علائم احتمالی سرطان سینه، به جز توده سرطان سینه چیست؟علاوه بر توده سرطان سینه، ممکن است یک یا چند مورد از علائم شایع سرطان سینه را داشته باشید:تورم در قسمت یا کل سینه شماترشحات نوک سینه (غیر از شیر مادر، در صورت شیردهی)تحریک یا پوسته پوسته شدن پوستقرمزی پوست در سینه و نوک سینههاضخیم شدن پوست سینه و نوک سینههانوک سینه به سمت داخل پیچ میخوردتورم در بازوتورم زیر بغلتورم در اطراف استخوان چنبریدر صورت مشاهده هر یک از این علائم، چه توده سرطان سینه وجود داشته باشد و یا وجود نداشته باشد، باید به پزشک مراجعه کنید. در بسیاری از موارد، این علائم ناشی از توده سرطان سینه نیستند. با این حال، شما پزشک میخواهید برخی آزمایشات را انجام دهید تا علت این علائم را بدانید.
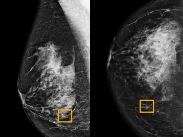
داشتن سینههای متراکم نیز تشخیص سرطان سینه را در ماموگرافی دشوارتر میسازد.چه زمانی باید به دکتر زنان مراجعه کنم؟سرطان سینه شایعترین منبع ابتلا به سرطان در زنان در دنیا تشخیص داده شده است. با این حال، بیشتر موارد توده سرطان سینه نیستند. اگر در هنگام معاینه فردی چیزی جدید یا غیرمعمول در سینه خود مشاهده یا احساس کردید، باید به پزشک مراجعه کنید.با وجود آمار و دستورالعملهای ACS، بسیاری از زنان هنوز معاینات فردی را ترجیح میدهند. درباره اینکه معاینات فردی را انجام دهید یا نه، باید با پزشک خود در مورد سن مناسب برای شروع غربالگری ماموگرافی صحبت کنید.پیروی از رهنمودهای غربالگری سرطان سینه، مهمترین کاری است که میتوانید برای اطمینان از تشخیص به موقع سرطان سینه انجام دهید. هرچه سرطان سینه زودتر تشخیص داده شود، درمان زودتر آغاز میشود و چشم انداز بیماری شما بهتر خواهد بود.در زمان ویزیت پزشک چه انتظاری میتوانم داشته باشم؟با دکتر مراقبتهای اولیه یا متخصص زنان خود ملاقات کنید. در مورد ناحیه مشکوک و جدیدی که شناسایی کردهاید و علائمی که احساس میکنید، با پزشک خود صحبت کنید. پزشک شما به احتمال زیاد معاینه کامل سینه را انجام خواهد داد و ممکن است لکههای اطراف را نیز از جمله استخوان چنبر، گردن و زیر بغل شما بررسی کند.پزشک ممکن است بر اساس آنچه احساس میکند، آزمایشهای اضافی مانند ماموگرافی، سونوگرافی یا بافتبرداری را تجویز کند.پزشک شما همچنین ممکن است یک دوره انتظار همراه با مراقب را پیشنهاد کند. در طول این مدت، شما و پزشک به بررسی میزان توده تغییر یا رشد میپردازید. در صورت رشد توده، پزشک باید آزمایشات خود را برای رد توده سرطان سینه آغاز کند.در مورد نگرانیهای خود با پزشک خود صادق باشید. اگر سابقه شخصی یا خانوادگی، شما را در معرض خطر بیشتری برای ابتلا به سرطان سینه قرار میدهد، ممکن است بخواهید آزمایشهای تشخیصی مناسبی را انجام دهید تا مطمئن شوید توده سینه شما توده سرطان سینه است یا خیر.
هرچه سرطان سینه زودتر تشخیص داده شود، درمان زودتر آغاز میشود و چشم انداز بیماری شما بهتر خواهد بود.ریسک فاکتورهای سرطان سینهبرخی از عوامل خطرزا میتوانند احتمال ابتلا به سرطان پستان را در شما افزایش دهند. برخی از عوامل خطر را نمیتوان تغییر داد؛ سایر عوامل خطرزا ممکن است بر اساس نوع سبک زندگی شما کاهش یافته یا حتی حذف شوند.مهمترین عوامل خطر سرطان سینه عبارتند از:جنسیت. زنان بیشتر از مردان به سرطان پستان مبتلا میشوند.سن. سرطان تهاجمی پستان در زنان بالای ۵۵ سال بیشتر دیده میشود.سابقه خانوادگی. اگر یکی از اقوام درجه یک مانند مادر، خواهر یا دختر مبتلا به سرطان پستان شده باشد، خطر شما دو برابر میشود.ژنتیک. درصد کمی از موارد سرطان پستان ممکن است توسط ژنهایی ایجاد شود که نسل به نسل منتقل میشوند.نژاد. طبق گفته منبع معتبر موسسه ملی سرطان، زنان اسپانیایی تبار یا لاتین و آسیایی نسبت به زنان سفیدپوست و آمریکایی آفریقایی تا حدی کمتر دچار سرطان پستان میشوند. زنان آفریقایی آمریکایی به احتمال زیاد به سرطان سه گانه منفی مبتلا میشوند، که بسیار تهاجمی است و احتمال دارد در سنین پایین رشد کند. همچنین زنان آفریقایی آمریکایی در مقایسه با زنان سفیدپوست بیشتر در اثر سرطان پستان میمیرند.
توده سرطان سینه بیحرکت است. این توده اغلب منجر به سرطان سینه میشود.وزن. اضافه وزن یا چاقی خطر ابتلا به سرطان پستان را افزایش میدهد.بیماری خوش خیم پستان. برخی از بیماریهای خوش خیم (غیر سرطانی) پستان ممکن است خطر ابتلا به سرطان پستان را در آینده تحت تأثیر قرار دهد.استفاده از هورمون. اگر از درمان جایگزینی هورمون (HRT) استفاده کرده باشید یا در حال حاضر از آن استفاده میکنید، احتمال ابتلا به سرطان پستان بیشتر است.سابقه قاعدگی. دوره قاعدگی زودرس (قبل از ۱۲ سالگی) ممکن است خطر ابتلا به سرطان پستان را افزایش دهد.اواخر سن یائسگی. تاخیر در یائسگی (بعد از ۵۵ سالگی) ممکن است شما را در معرض هورمونهای بیشتری قرار دهد، که میتواند ریسک ابتلای شما را افزایش دهد.بافت متراکم سینه. مطالعات نشان میدهد زنانی که بافت پستان متراکمی دارند، احتمال ابتلا به سرطان در آنها بیشتر است. این بافت ممکن است تشخیص سرطان را نیز دشوارتر سازد.سبک زندگی کم تحرک. زنانی که به طور منظم ورزش نمیکنند، بیشتر از زنانی که اغلب اوقات ورزش میکنند دچار سرطان پستان میشوند.مصرف دخانیات. سیگار کشیدن خطر ابتلا به سرطان پستان را به ویژه در زنان جوان که هنوز یائسه نشدهاند، افزایش میدهد.مصرف الکل. به ازای هر نوشیدنی الکلی که مصرف میکنید، خطر ابتلا به سرطان پستان افزایش مییابد. تحقیقات نشان میدهد که نوشیدن مقداری الکل مشکلی ندارد، اما استفاده زیاد از الکل با خطر بالاتر سرطان پستان در ارتباط است.
اگر یکی از اقوام درجه یک مانند مادر، خواهر یا دختر مبتلا به سرطان پستان شده باشد، خطر شما دو برابر میشود.اگر یکی از اقوام درجه یک مانند مادر، خواهر یا دختر مبتلا به سرطان پستان شده باشد، خطر شما دو برابر میشود.سرطان سینه در مردانبیشتر سرطانهای پستان در زنان تشخیص داده میشود. با این حال، مردان بافت پستان دارند و میتوانند به سرطان پستان مبتلا شوند. کمتر از یک درصد از کل موارد سرطان پستان در مردان رخ میدهد.علائم سرطان پستان در مردان همان علائم سرطان سینه در زنان است. این علائم عبارتند از:یک توده در یک پستاننوک سینه که به سمت داخل چرخش یافته است (وارونه میشود)درد نوک پستانترشح از نوک پستانقرمزی، گودی یا پوسته ریزی روی پوست پستانقرمزی یا زخم در نوک سینه یا حلقه در اطراف نیپلغدد لنفاوی متورم در زیر بغلهمانند زنان، سرطان پستان در مردان نیز میتواند به سایر قسمتهای بدن گسترش یابد یا متاستاز ایجاد کند. تشخیص سرطان در مراحل اولیه مهم است. به این ترتیب، شما و پزشک میتوانید به سرعت درمان سرطان را شروع کنید.نحوه انجام معاینه فردیتکنیکهای غربالگری به شما و پزشک کمک میکند تا نواحی مشکوک را در پستان خود شناسایی کنید. ماموگرافی یکی از گزینههای معمول غربالگری است. معاینه فردی سینه یک مورد دیگری محسوب میشود.معاینه فردی برای دهههای متمادی، بخش مهمی از تشخیص زودرس سرطان پستان محسوب میشد. امروزه، ممکن است منجر به بیوپسی و اقدامات جراحی زیاد و غیر ضروری شود.
سرطان سینه تنها بیماری نیست که میتواند باعث ایجاد تودههای غیرمعمول در پستان شما (توده سرطان سینه) شود.با این حال، پزشک ممکن است معاینه فردی را به شما توصیه کند. حداقل این معاینه به شما کمک میکند تا با ظاهر، شکل، بافت و اندازه پستانهای خود آشنا شوید. دانستن اینکه پستان شما چه حسی باید داشته باشد، میتواند به شما کمک کند تا یک مشکل احتمالی را راحتتر تشخیص دهید.تاریخی را انتخاب کنید هورمونها بر احساس پستان شما تأثیر میگذارند، بنابراین بهتر است چند روز پس از پایان دوره قاعدگی صبر کنید. اگر پریود نیستید، در تقویم، تاریخی را که میتوانید به راحتی به خاطر بسپارید، یعنی تاریخ اول یا پانزدهم را انتخاب کنید و معاینه فردی خود را برنامهریزی کنید.به ظاهر سینه خود نگاه کنید. تاپ و سوتین خود را درآورید. جلوی آینه بایستید. حالت سینههای خود را مشاهده کنید و آنها را از نظر تقارن، شکل، اندازه یا رنگ بررسی کنید. هر دو بازو را بالا بیاورید و بازرسی بصری را تکرار کنید، و به تغییر شکل و اندازه سینههای خود در هنگام کشیدن بازوها توجه کنید.هر سینه را بررسی کنید. پس از اتمام معاینه بصری، روی تخت یا مبل دراز بکشید. از انگشتان خود برای احساس وجود توده، کیست یا سایر ناهنجاریها استفاده کنید. برای اینکه فرم بازرسی را یکنواخت نگه دارید، از نوک پستان خود شروع کرده و از استخوان سینه و زیر بغل، به صورت مارپیچ خارج شوید. این رویه را در طرف دیگر تکرار کنید.نوک سینه را فشار دهید. به آرامی روی هر نوک نیپل فشار دهید تا ببینید آیا ترشحاتی دارید یا نه.این کار را در دوش تکرار کنید. بازرسی نهایی را زیر دوش انجام دهید. اجازه دهید آب گرم و صابون و کشیدن انگشتان روی پستان، معاینه دستی را آسان کند. از نوک پستان خود شروع کنید و به شکل مارپیچ مسیر را ادامه دهید. این کار را روی سینه دیگر نیز تکرار کنید.یک دفترچه یادداشت داشته باشید. تشخیص تغییرات ظریف ممکن است دشوار باشد، اما یک دفترچه ممکن است به شما کمک کند تا تغییرات را در زمان وقوع مشاهده کنید. نقاط غیرعادی را یادداشت کرده و طی چند هفته دوباره آنها را بررسی کنید. اگر تودهای پیدا کردید، به پزشک مراجعه کنید.بیماریهایی که میتواند باعث ایجاد توده سرطان سینه شودسرطان سینه تنها بیماری نیست که میتواند باعث ایجاد تودههای غیرمعمول در پستان شما (توده سرطان سینه) شود. بیماریهای دیگر نیز ممکن است سبب ایجاد توده سینه شوند:تورم غدد لنفاویکیستعفونت ویروسیواکنش پوست در برابر اصلاح یا اپیلاسیونواکنشهای آلرژیتیکرشد بافت غیرسرطانی (فیبروآدنوما)رشد بافت چربی (لیپوما)لنفومسرطان خونلوپوستورم یا گرفتگی غدد پستانیبعید به نظر میرسد که یک توده در زیر بغل یا سینه شما توده سرطان سینه باشد، اما باید در مورد یافتن هر گونه لکههای غیرمعمول با پزشک خود صحبت کنید. پزشک شما به احتمال زیاد معاینه فیزیکی را انجام داده و علل احتمالی تودههای غیرمعمول مثل توده سرطان سینه را رد میکند.
بعید به نظر میرسد که یک توده در زیر بغل یا سینه شما توده سرطان سینه باشدسخن آخربدن شما مال خود شماست و تنها مالک آن، شما هستید. اگر تودهای پیدا کردید یا علائم غیرمعمولی را تجربه کردید و مشکوک به توده سرطان سینه شدید، باید از راهنماییهای پزشک خود استفاده کنید.پزشک شما ممکن است از طریق معاینه فیزیکی تشخیص دهد که آیا توده سینه شما توده سرطان سینه است یا خیر. اگر در مورد علائم و نشانههای جدید توده سرطان سینه نگران هستید، نباید از درخواست آزمایشات اضافی دیگر برای تشخیص توده سرطان سینه در بدن خود بترسید.انتهـــــــــــــــــــــــــای پیــــــــــــــــــــــــــام۱۲۱ elaheh solimani
ارسال نظر آزاد است، اما اگر قبلا در بیان ثبت نام کرده اید می توانید ابتدا وارد شوید.
درباره من
سلام در بسیاری از مسائل زندگی افراد به وضوح قابل مشاهده است. خانواده اولین بخش از یک اجتماع است که هر کدام از ما به صورت تولد، فرزند خواندگی، یا ازدواج به آن وارد میشویم. روابط بین افراد خانواده و نقشهایی که هر یک از اعضا بر عهده میگیرند، میتواند بر شکلگیری شخصیت و نحوه تعاملات افراد اثر بگذارد. علاوه بر ژنهای مشابه، سبکهای ارتباطی افراد یک خانواده نیز منجر به پیدایش خصوصیات مشترک در بین آنها می شود. برای آنکه در مورد نقش و اهمیت خانواده بیشتر بدانید
طبقه بندي موضوعي
- زناشویی (۹۰)
- کودکان و والدین (۳۳)
- آرایش و زیبایی (۷)
- روانشناسی (۱۸۷)
- روابط عاطفی (۷)
- سلامت (۲۰۲)
- سبک زندگی (۱۳۴)
- تغذیه سالم (۴۰)
- تناسب اندام (۴۱)
- سلامت روان (۲۵۵)
- اطلاعات دارویی (۲۲)
- بیماری ها (۳۶۸)
- پوست و زیبایی (۲۵)
- دندانپزشکی (۲۰)
- تازه های پزشکی (۳۶)
- دانشنامه : کرونا (۳۲)
آخرين عناوين
پربحث ترين ها
- رازهای یک زندگی زناشویی عاشقانه که هر دختر و پسری باید بداند
- این مردهای بی مسئولیت...
- 💚ضربه مغزی چیست و چگونه درمان میشود؟💚
- آیا شما هم فرزندتان را از دست داده اید؟
- علت تمایل مردان به همسر دوم چیست؟
- 💚29 غذایی که شکم شما را شش تکه میکند!💚
- علائم، راههای پیشگیری و درمان ویروس کرونا + پرسش و پاسخ
- در سونوگرافی ان تی (nt) بارداری چه چیزهایی مشخص می شود؟
- باکتری ترموس اکواتیکوس چگونه در مبارزه با ویروس کرونا کمک رسانی می کند؟
- تفاوت وگان و وجترین چیست؟
پربازديدترين ها
- عفونت واژن چه نشانه هایی دارد و چگونه درمان می شود؟
- علایق و روحیات جنسی - روانی زن متولد آذر ماه
- همه نشانه های یک همسر کنترل گر
- علائم لخته خون در بدن چیست؟
- کاشف واکسن سیاه سرفه کیست؟
- عوارض احتمالی بعد از تزریق واکسن آسترازنکا
- آیا تست مثبت کرونا می تواند کاذب باشد؟
- ارتباط میان بیماری های افسردگی و اضطراب با دردهای مزمن
- تبلیغات
- هر چیزی که باید در مورد برجستگی واژن بدانیم
محبوب ترين ها
- چرا خوشحال نیستم؟
- نشانه های اولیه باهوش بودن نوزاد و کودکان
- پزشک های متخصص گوش، حلق و بینی چه مسئولیت هایی دارند؟
- علائم، راههای پیشگیری و درمان ویروس کرونا + پرسش و پاسخ
- واکسن چطور تهیه می شود؟ واکسن کرونا کی آماده می شود؟
- اینفوگرافیک: راهنمای مواد غذایی ایمن در دوران کرونا
- بررسی تیپ شخصیتی ISTJ (درونگرا، حسی، منطقی، قضاوتی)
- کاشف واکسن هپاتیت B کیست؟
- فلج مغزی (Cerebral Palsy)
- جرم گیری دندانها
آخرين نظرات
- وگان یک فرد است که در تغذیهاش از ...
۴ بهمن ۰۳، ۱۲:۱۸ - وگان یعنی چه؟ - تبخال تناسلی یک عفونت شایع و مسری ...
۱۸ آبان ۰۳، ۱۲:۲۳ - رحیم - جالب بود
۱۲ بهمن ۰۰، ۱۱:۵۴ - سارا - زنده بودن در معنای نزدیکش ارزشی ...
۶ بهمن ۰۰، ۱۴:۱۲ - ناشناس - من خودم رو از دست دادم.
۶ بهمن ۰۰، ۱۳:۱۲ - ناشناس - سلام مطلب بسیار غالی بود ممنونم لایک
۷ دی ۰۰، ۱۲:۲۶ - abdolnabi solimani - سلام یلدا مبارک الاهی که 100 سال زنده باشید.
۱ دی ۰۰، ۱۲:۱۲ - abdolnabi solimani - پرچم ایام فاطمیه فروشگاه اینترنتی ...
۱۶ آذر ۰۰، ۱۳:۲۵ - خرید پرچم فاطمیه - وبلاگ خوبی دارید لطفا از وبلاگ ما ...
۲۷ آبان ۰۰، ۱۲:۱۵ - محسن حیدری - https://starteach.ir نرم افزار ...
۱۴ آبان ۰۰، ۱۳:۳۱ - https://starteach.ir
آرشيو
- بهمن ۱۴۰۰ (۵۵)
- دی ۱۴۰۰ (۱۳۰)
- آذر ۱۴۰۰ (۱۲۵)
- آبان ۱۴۰۰ (۱۳۰)
- مهر ۱۴۰۰ (۱۲۵)
- شهریور ۱۴۰۰ (۱۵۰)
- مرداد ۱۴۰۰ (۱۵۰)
- تیر ۱۴۰۰ (۱۳۳)
- خرداد ۱۴۰۰ (۹۶)
- ارديبهشت ۱۴۰۰ (۱۴۶)
- فروردين ۱۴۰۰ (۱۱۵)
- اسفند ۱۳۹۹ (۵۰)
- مهر ۱۳۹۹ (۷۰)
- شهریور ۱۳۹۹ (۳۰)
نويسندگان
- elaheh solimani (1505)
برچسب ها
علائم
علل
تشخیص و درمان
۶ علامت استرس و اضطراب شدید
علائم و درمان
تشخیص
علائم و راههای درمان
حسی
چگونه بر ترس و اضطراب غلبه کنیم؟
اختلال روان تنی یا سایکوسوماتیک چیست؟
عوارض و راه های درمان استرس حاد
احساس تمایل به خودکشی به چه دلایلی ایجاد میشود؟
منطقی
پیشگیری و درمان
استرس حاد چیست؟
اختلال اضطراب اجتماعی چیست؟
اوتیسم یا درخودماندگی چه هست و چه نیست؟
اختلال جویدن ناخن چیست و چگونه درمان میشود؟
علت کابوس های شبانه چیست؟
علائم و راه درمان این اختلال
حمله پانیک؛ علل
کنترل خشم در ADHD یا بیش فعالی
علل و درمان وسواس فکری-عملی
علل و درمانی دارد؟
اختلال پانیک یا هراس چه علائم
علائم اختلال ADHD یا بیش فعالی کم توجهی چیست؟
علت و دلیلی بیش فعالی یا ADHD چیست؟
کمال گرایی و وسواس چه فرقی دارند؟
علل و درمان سندرم آسپرگر
افسردگی چیست و چطور باید با آن کنار بیاییم؟

